คุณหมอเฉพาะทางจัดฟันแบบใส

คลินิกทันตกรรมชิคสไมล์ การันตีด้วยรางวัล PLATINUM PROVIDER 7 ปีซ้อน

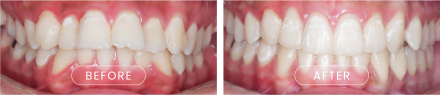
รีวว เคสจัดฟันแบบใส INVISALIGN

รีวว เคสจัดฟันแบบใส INVISALIGN

รีวว เคสจัดฟันแบบใส INVISALIGN

คลินิกทันตกรรมชิคสไมล์ คุณหมอใจดี

คลินิกทันตกรรมชิคสไมล์ การันตีด้วยรางวัล PLATINUM PROVIDER 7 ปีซ้อน

จุดเด่นของการจัดฟันใส

เหตุผลที่ทำให้การจัดฟันใสเป็นทางเลือกที่ได้รับความนิยม
และตอบโจทย์ไลฟ์สไตล์ยุคใหม่

ทำไมต้องเลือกจัดฟันใสที่ ชิคสไมล์

คลินิกทันตกรรมชิคสไมล์ การันตีด้วยรางวัล PLATINUM PROVIDER 7 ปีซ้อน

ดูแลโดยทันตแพทย์เฉพาะทาง

ดูแลโดยผู้เชี่ยวชาญเฉพาะด้าน เพื่อรอยยิ้มที่สวยงาม สุขภาพฟันแข็งแรง และผลลัพธ์ที่ดีที่สุดสำหรับคุณ

คลินิกสะอาด ปลอดภัย ได้มาตรฐาน

ใส่ใจทุกขั้นตอน ทำความสะอาดอย่างเคร่งครัด เพื่อความมั่นใจและสุขภาพที่ดีของคุณ

อุปกรณ์ล้ำสมัย เพื่อรอยยิ้มที่มั่นใจ

ดูแลโดยผู้เชี่ยวชาญเฉพาะด้าน เพื่อรอยยิ้มที่สวยงาม สุขภาพฟันแข็งแรง และผลลัพธ์ที่ดีที่สุดสำหรับคุณ

4 ขั้นตอนสู่รอยยิ้มสวยด้วย Invisalign

เส้นทางการมีรอยยิ้มสวยด้วย Invisalign นั้นไม่ซับซ้อน โดยมีขั้นตอนหลักที่เข้าใจง่าย ดังนี้:

พบทันตแพทย์เพื่อสแกนฟัน และ ออกแบบแผนการรักษา

ทันตแพทย์จะออกแบบ และ ผลิตชุดจัดฟันใสที่ เหมาะสมกับฟันของคุณ

เปลี่ยนชุดอุปกรณ์ทุก 1-2 สัปดาห์ เพื่อค่อยๆ ปรับฟันให้เรียงตัวสวย

จัดฟันเรียบร้อย ใส่รีเทนเนอร์เพื่อคงสภาพฟัน

เลือกแพ็กเกจจัดฟันใส ที่เหมาะกับคุณ

Invisalign คือการจัดฟันด้วยเครื่องมือใสแบบถอดได้ (Clear Aligners) แทนเหล็กจัดฟันแบบดั้งเดิม
ช่วยค่อย ๆ ขยับฟันตามแผนการรักษาที่ออกแบบด้วยระบบดิจิทัล 3 มิติ

INVISALIGN I7
( 7 คู่ )

7 ชิ้นงาน แก้ไขความผิดปกติของฟัน ระดับน้อยมาก
รายละเอียด

INVISALIGN i7/Express เครื่องมือ 7 ชุดเหมาะสำหรับ คนไข้เคยจัดฟันมาแล้ว แต่ไม่ได้ใส่ Retainer หรือคนไข้ที่มี ฟันบิด ฟันห่างเล็กน้อยมาก

ระยะเวลา
  • ระยะเวลาที่ใช้ในการจัดฟันแบบใส ประมาณ 2-4 เดือน
  • จำนวนเครื่องมือจัดฟันแบบใส ไม่เกิน 7 คู่
ราคา

100,000 THB.
79,000 THB.

ปรึกษาผู้เชี่ยวชาญ

INVISALIGN LITE
( 14 คู่ )

แก้ความผิดปกติของฟัน ระดับน้อยถึงปานกลาง
รายละเอียด

 INVISALIGN LITE แก้ความผิดปกติของฟันระดับน้อยถึงปานกลางด้วยชุดเครื่องมือ 14 ชุด เช่น คนไข้ฟันซ้อน ฟันห่าง ฟันยื่น แต่อยู่ในระดับปานกลาง

ระยะเวลา
  • ระยะเวลาที่ใช้ในการจัดฟันแบบใส ประมาณ 4-7 เดือน
  • จำนวนเครื่องมือจัดฟันแบบใส ไม่เกิน 14 คู่
ราคา

140,000 THB.
119,000 THB.

ปรึกษาผู้เชี่ยวชาญ

INVISALIGN FULL
( ไม่จำกัด )

แก้ความผิดปกติของฟันระดับที่มี ความซับซ้อนรุนแรง
รายละเอียด

 INVISALIGN FULL แก้ไขความผิดปกติของฟันระดับที่มี ความซับซ้อนรุนแรง ด้วยชุดเครื่องมือจัดฟันไม่จำกัด เหมาะสำหรับผู้ที่มีปัญหาฟันซ้อนเก ค่อนข้างมาก

ระยะเวลา
  • ระยะเวลาที่ใช้ในการจัดฟันแบบใส 7 เดือนขึ้นไป
  • ไม่จำกัดจำนวนเครื่องมือจัดฟันแบบใส
ราคา

200,000 THB.
169,000 THB.

ปรึกษาผู้เชี่ยวชาญ

INVISALIGN TEEN
( ไม่จำกัด )

สำหรับเด็ก (ฟันแท้ยังขึ้นไม่ครบหรือขึ้นบางส่วน)
รายละเอียด

 INVISALIGN TEEN สำหรับเด็กที่มีฟันชุดผสม (ฟันแท้ยังขึ้นไม่ครบ) ช่วยในการปรับแต่งการเรียงตัวของฟันและกระดูกขากรรไกรในระยะที่เด็กมีการเจริญเติบโต 

ระยะเวลา
  • ระยะเวลาที่ใช้ในการจัดฟันแบบใส ประมาณ 4-7 เดือน
  • จำนวนเครื่องมือจัดฟันแบบใส ไม่เกิน 14 คู่
ราคา

220,000 THB.
189,000 THB.

ปรึกษาผู้เชี่ยวชาญ

ดูแลโดยทันตแพทย์เฉพาะทาง

 

การันตีโดยรางวัล INVISALIGN PLATINUM PROVIDER ตั้งแต่ปี 2018-2024

ทพ.พิศิษฐ์ ศิริจารุวงศ์ (หมอปริ้นท์)

ปรึกษาปัญหาฟัน ฟรี

ดูแลโดยทันตแพทย์เฉพาะทาง

 

การันตีโดยรางวัล INVISALIGN PLATINUM PROVIDER ตั้งแต่ปี 2018-2024

ทพ.พิศิษฐ์ ศิริจารุวงศ์ (หมอปริ้นท์)

ปรึกษาปัญหาฟัน ฟรี

Follow Us on Tiktok

Chic Smile on TikTok

ติดตามเคล็ดลับการดูแลฟันสนุกๆ และเรื่องราวเบื้องหลังรอยยิ้มจากทีมทันตแพทย์ของเราได้ที่ TikTok

@chicsmiledentalclinicสัมภาษความรู้สึกคุณหมองานimplantอิ่มใจ gen4 เมื่อเดือนสิงหาที่ผ่านมาค่าา♬ Happy Upbeat01 – SonicMusic

our Reviwe on google

ขอบคุณคนไข้ทุกท่านที่ไว้วางใจให้ Chic Smile ได้เป็นส่วนหนึ่งในการดูแลรอยยิ้มของคุณ

คุณหมอใจดีมือเบา เจ้าหน้าที่ บริการดีให้ข้อมูลดี ค่ะ ราคาสมเหตุสมผล สถานที่สะอาดสะอ้าน

Maymee V / on Google Map

จัดฟันกับหมอปริ้นค่ะคลินิคนี้ดูแลดีมากพี่ๆผู้ช่วยก็ใจดีไม่หยาบคายฟันเข้าเร็วด้วย

Wip Cream / on Google Map

มาจัดฟันที่นี้ ได้ 7-8 เดือน เลือกร้านนี้ เพราะหน้าร้านสว่างไสวมากๆ ดูน่าไปใช้บริการ มาครั้งแรกปรึกษาอะไรต่างๆรวดเร็วแค่ 2 อาทิตย์ก็ติดเครื่องมือแล้ว ร้านบริการดีมากครับ

Earth Phisek / on Google Map

วันนี้มาอุดฟัน ที่นี่กับ คุณหมอหยุง รักษาดีมาก บริการดี พูดเพราะ ราคาไม่แพง แนะนำคะ ใครที่หาคลีนิคทำฟันอยู่

kero กบ อ๊บๆ / on Google Map

คลินิกบริการดีมากค่ะ สะอาดมากกก ภายในสวยมากๆค่ะ คุณหมอกับเจ้าหน้าที่บริการดีมากๆ พูดเพราะมากเลยค่ะ💗 ราคาถูก มีโปรโมชั่นบ่อยด้วยค่าาาาา …

อัญญาฎา ถนิมวาสน์ / on Google Map

ได้มีโอกาส มารับการรักษาฟันกับ..”คุณหมอน๊อต” คะ…คุณหมอมือเบาม๊ากๆ…ใจเย็น…เอาใจใส่กับงานดีมาก…และมีความเข้าใจ เห็นอกเห็นใจ

ภูมรินทร์ ณ วิเชียร / on Google Map

คลีนิกนี้บริการดีค่ะ รวดเร็ว สะอาด เป็นกันเอง คุณหมอมิ้นมือเบามากๆ เชิญมาใช้บริการทำฟันที่คลีนิกนี้กันเยอะๆนะคะ คอนเฟิร์มจากผู้ใช้บริการค่ะ

Rattana Udomyat / on Google Map

branch

ชิคสไมล์! 3 สาขาใกล้บ้านคุณChic Smile</strong

พร้อมดูแลรอยยิ้มของคุณ ทั้งสามสาขาใกล้บ้านคุณ ปรึกษาปัญหาฟันกับผู้เชี่ยวชาญฟรี ทั้งสามสาขา

156 ถนนสมบูรณ์กุล ตำบลหน้าเมือง
อำเภอเมือง จังหวัดราชบุรี 70000

094-669-6966 / 032-916-090

google map google map สอบถามผ่าน line

46/11 หมู่ 4 บางกรวย-ไทรน้อย ต.โสนลอย อ.บางบัวทอง จ.นนทบุรี 11110

061-996-6966 / 02-051-4928

google map google map สอบถามผ่าน line

359, ซอย บรมราชชนนี 97 ฉิมพลี, เขตตลิ่งชัน กรุงเทพมหานคร 10170

089-696-6446

google map google map สอบถามผ่าน line

BLOG chic smile dental

สาระน่ารู้เรื่องช่องปาก by Chic Smile Dental

อัปเดตความรู้และเทรนด์ทันตกรรมที่น่าสนใจ อ่านง่าย เพื่อการดูแลสุขภาพช่องปากที่ดีที่สุดสำหรับคุณและครอบครัว

ค้นหา Chic Smile Dental clinic ใกล้ฉัน

ปรึกษาปัญหาฟันฟรี! ไม่มีค่าใช้จ่าย

Chic Smile Dental ยินดีให้คำปรึกษาทางทันตกรรม ไม่ว่าจะเป็นเรื่องจัดฟัน วีเนียร์ รากฟันเทียม หรือทันตกรรมอื่นๆ เราพร้อมให้คำปรึกษาและวางแผนการรักษาที่เหมาะสมกับคุณ

    คลินิกทันตกรรมที่ครบจบทุกเรื่องฟัน โดยทีมทันตแพทย์เฉพาะทาง พร้อมดูแลรอยยิ้มของคุณและครอบครัว

    094-669-6966 Chic Smile Dental Clinic
    บริการด้านการจัดฟัน
    • จัดฟันแบบใส invisalign
    • จัดฟันแบบ Damon Q / Clear
    • จัดฟันแบบ Agility / Empower
    • จัดฟันแบบ Metal
    บริการด้านความงาม
    • เซรามิกวีเนียร์ Veneer
    • รากเทียม Implant
    • Implant all on 6 / 4
    • ฟอกสีฟันขาว
    บริการด้านทันตกรรมทั่วไป
    • ขูดหินปูน
    • อุดฟัน / ถอนฟัน
    • ผ่าฟันคุด / ถอนฟันคุด
    • ทันตกรรมสำหรับเด็ก

    © 2026 Chic Smile Dental Clinic

    contact us